Martes 16.Sep 10:00 am. – 12:00 am.

Directores
Dr. Enrique Canepa
Dr. Angel Pierini

Disertantes
Dr. Ángel Pierini
Dr. Leandro Pierini
Dr. José Ignacio Paladini
Dra. Antonella Wettzel
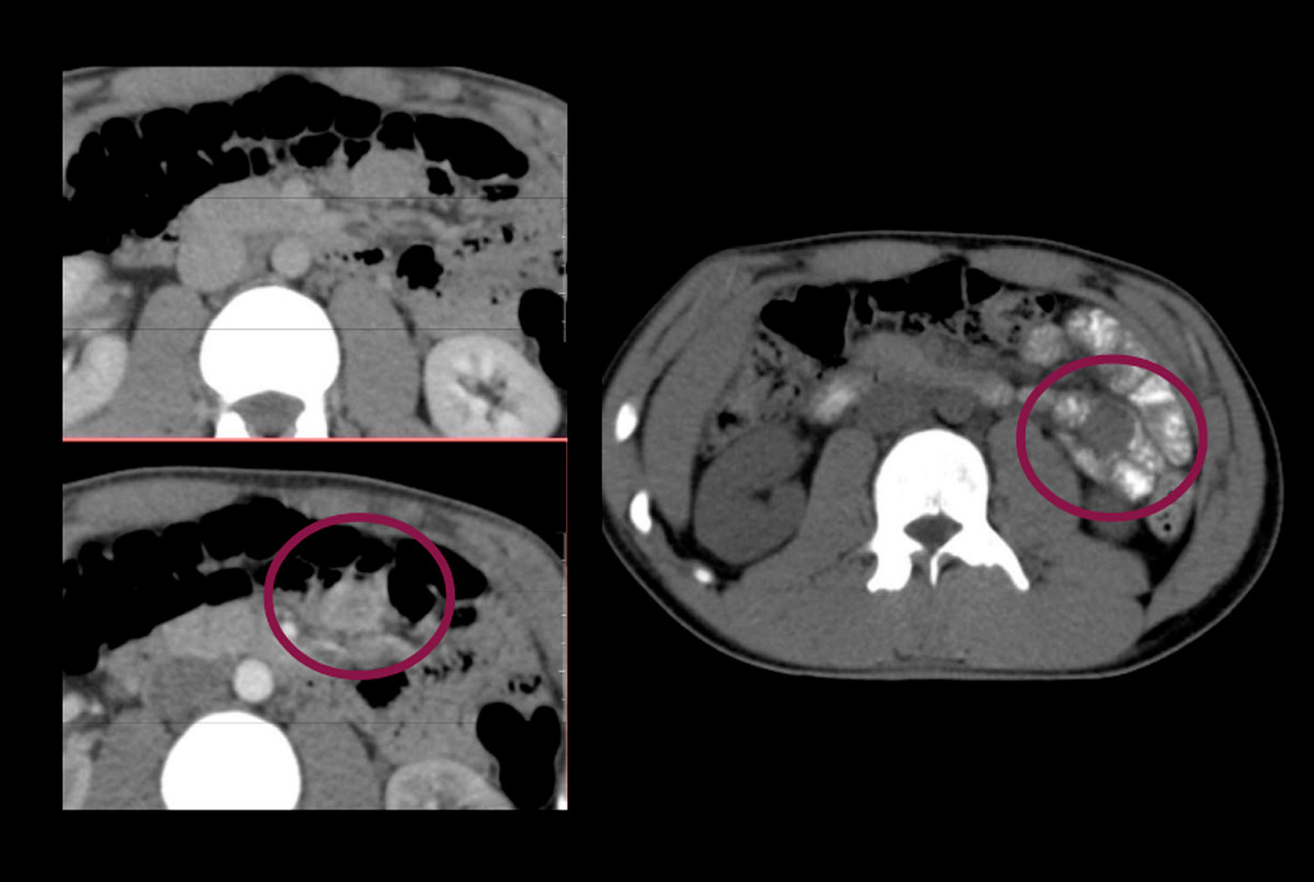
Sanatorio MIT Santa Fe

Masculino – 18 años
· Sin alergias
· Sin hábitos tóxicos
· Consumo de AINES por cervicalgia crónica

Antecedente de internación reciente por HDA + anemia con requerimiento transfusional en otro nosocomio en contexto de gastritis eritematosa.

Leer más